부산 임플란트 치과 치료 잘하는곳 후기 – 상악만 11개 식립

#부산임플란트치과 #임플란트리뷰 #부산치과치료리뷰 #부산치과잘하는곳 #치과치료리뷰

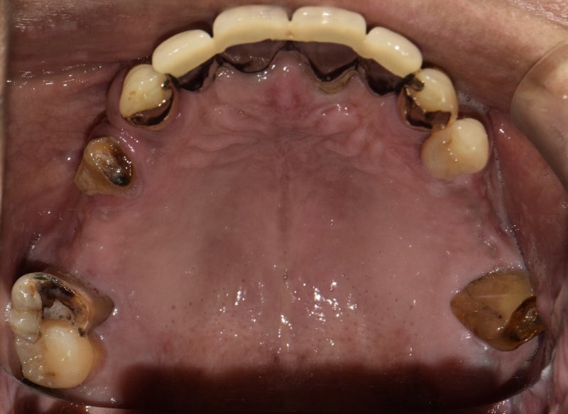
부산 임플란트 치과 치료를 잘하는 곳의 리뷰를 소개합니다.60대 남성 윗니 전체 11개 식립치료 기간 : 6개월 이상 포스트 투함 전 부작용 공지! 임플란트 치료 시 부종, 출혈, 감각이상 통증 등 후유증이 발생할 수 있습니다!21년 5월에 동래구에 살았던 분이군요. 왜 그런지 모르겠지만 윗니 이빨이 거의 남아 있지 않았군요. 이런 상태면 씹는데 너무 불편함을… 씹을 수 있어야겠네요 그리고 평소에 흡연을 많이 하시는 것처럼 보였어요. 흡연은 치아나 건강에 좋은 것은 하나도 없는 것 같습니다] 되도록 금연하세요!] 보시는 것처럼 만성 치주염에 완전하지 않은 치아는 발치가 필요해 보입니다. 남아있는 앞니조차도 위험한 상황이네요.

일단 X선 사진으로 넘어가 볼까요? 1. 식립전 X선사진.

윗니를 윗턱이라고 합니다. 상악 기준으로 오른쪽, 왼쪽 모두 상악동 거상술이 필요해 보입니다. 그리고 상태가 안 좋은 앞니는 제거하기로 했어요. 거의 완전하지 않았기 때문에 발치가 필요했어요. 치료계획입니다. 상악잔존치발치치료 만성치주염치료 좌바로상악동서상술+골이식+임플란트식립우상악동서상술+골이식우3개월후임플란트식립보철치료후마무리오른쪽은골이식량이많이필요해보여서완전히회복될때까지기다려보기로하였습니다.

임플란트 치료! 대표원장이 직접 수술하여 관리합니다.

2. 전체 치아 식립후 엑스레이 사진

모두 11개를 식립했습니다. “나무하는 것 아닌가”라고 반문 할지 모르지만 원래 이가 있었던 것처럼 그 자리에 최대한 임프 랑토피크스챠ー을 모두 식립하는 것이 가장 효과적입니다. 그런데 어떤 곳은 4개로 가능하다 8개로 가능하다는 것? 그 같은 임플란트가 부담이 되는 분을 위한 광고 수단에 불과하고 실제로 4~6개로 전체 치아를 복원하면 정말 사용하기가 어렵습니다. 그리고 잇몸 뼈가 정상으로 유지되는 것도 아닙니다. 앞으로 임플란트를 식립하려면 또 뼈 이식이 필요하게 될지도 모르겠습니다. 우리도 4~6개를 이용한 틀니 임플란트 시술이 가능합니다. 그러나, 추천은 없습니다. 부담이 되는 비용 때문에 적은 수의 임플란트를 식립 후 추가 식립하는 사례가 많았는데, 처음부터 다수의 임플란트에서 식립하는 것을 추천하고 있습니다. 임플란트 치료는 기간이 1년 걸릴 수 있으므로 오랫동안 치료를 받으면서 수술한 임플란트의 수만 결제하면 부담이 크지 않을지도 모릅니다. 4~6개로 틀니 임플란트를 하지 않고, 나중에 후회하지 않고 전체를 임플란트에서 식립하세요!!윗니의 경우 적어도 9개 이상의 임플란트의 수가 필요하고 이처럼 식립해야 완전한 기능을 할 수 있습니다. 비교적 씹을 힘이 덜 필요한 앞니는 브리지에서 잡고 식립 수를 줄입니다. 오늘 부산 임플란트 치과 치료 리뷰도 X선 사진처럼 앞니는 1개 식립하고, 이빨에 식립한 곳에 보철로 연결합니다. 치료 중에 특이 사항이 있었군요. 가끔 상악동 거상술을 한다, 코에서 피가 나오는 일이 있습니다. 이번 검토도 그랬는데~그래서 수술 후의 주의 사항을 반드시 지켜야 하는데, 이 분도 수술 후에 흡연하신 것 같네요. 그래서 금연을 부탁했습니다. 다행히 치료적인 부분에서 큰 문제가 발생하지 않았죠.

다미 주 치과는 환자가 유리한 조건을 갖기 위해 재료까지 상급 재료를 사용합니다.오스템 최상급 SOI! 임플란트 재료는 어떤 것을 사용하는지 꼭 확인하세요!3) 일부 보철치료중위에서 설명한 것처럼 보철물로 식립되지 않은 치아 부분을 채운 것이 앞니 부분으로 보이죠~! 오른쪽은 아직 보철이 올라가지 않았네요. 이유는 광범위한 상악동 거상술이어야 했기 때문에 뼈가 융합되는 기간까지 필요합니다. 그래서 뼈 이식 후 3개월 정도 회복 기간을 거쳐 임플란트를 식립했습니다. 4. 치료완료 후짜잔, 모든 보철이 올라간 상태입니다. 임플란트가 완성되면 이때부터 관리기가 필수입니다. 잇몸 건강을 위해 치간칫솔 이용을 습관화해야 하며 보철물에 치석이 붙지 않도록 조심해야 합니다. 임플란트를 심으신 분이라면 이미 잇몸이 상한 상태에서 복원했으니 복원된 상태에서 평생 잘 쓰려면 기존의 나쁜 습관을 버리고 관리에 신경쓰시기 바랍니다. 이상 다미주치과 서면점 부산치과치료 리뷰였습니다.다미주치과의원 부산광역시 부산진구 가야대로 784번길 27 삼화빌딩 2, 3층다미주치과의원 부산광역시 부산진구 가야대로 784번길 27 삼화빌딩 2, 3층#부산임플란트치과 #임플란트리뷰 #부산치과치료리뷰 #부산치과잘하는곳 #치과치료리뷰

error: Content is protected !!