증상, 한약치료 ‘일본 동양의학’ 안압상승, 녹내장의 원인, 종류,

일본 동양의학에서 녹내장의 원인, 종류, 증상, 한약의 치료를 정리한 자료가 있어 옮깁니다.이해를 돕기 위해 원저에 없는 그림과 사진을 삽입하였습니다.녹내장의 원인, 종류, 증상, 한약 치료 [일본 동양 의학] 녹내장의 원인은 안압 상승으로 시신경이 압박되는 것입니다.

방수의 흐름 안압은 방수(수액)의 압력이 각막에 미치는 압력을 검사하며 정상 안압은 11~21mmHg입니다.녹내장은 방수 배출 손상기에 따라 개방각과 폐쇄각으로 나눌 수 있습니다.

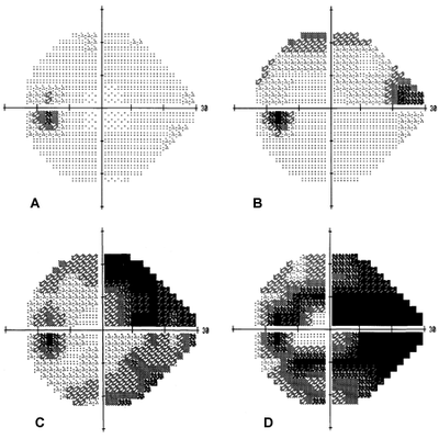
개방각 녹내장에서는 방수 유출 통로가 서서히 막혀 안압이 상승하고 만성적으로 천천히 진행됩니다.초기에는 자각 증상이 거의 없고, 눈의 피로, 침침함, 두통, 빛의 번짐 상태를 호소하기도 합니다.진행되면 암점, 시야 결손이 생기고 방치하면 중심 시력만 보존되거나 실명에 이릅니다.

녹내장의 시야결손폐쇄각 녹내장은 홍채가 전위하여 방수의 유출통로가 좁아져서 생기고 안압상승과 시신경손상이 급성으로 나타납니다.심한 눈의 통증, 두통, 메스꺼움, 눈의 충혈, 시야장애가 발작적으로 일어나 응급조치(수술)가 필요합니다.

안압 상승으로 시신경이 한 번 손상되면 회복하기 어렵기 때문에 주기적인 안압, 안저, 시야 검사가 필요합니다.

안압상승을 유발하는 방수 정체를 한방에서는 ‘수체’로 보고 수분을 배출하는 수제를 자주 사용합니다.수액은 신으로 관장하고 눈은 간과 관련되므로 신과 간을 보충하는 처방도 유효합니다.

오령산은 대표적인 이수제로 부종, 두통, 갈증, 소변량 감소, 설사, 숙취 등에 효과적입니다.노계출 감탕은 불필요한 수분을 배출하고 몸을 따뜻하게 하며 소화기능을 돕는 효과가 있으며 현기증, 두근거림, 두통이 있는 사람에게 적용됩니다.수체+혈허인 경우에는 당귀 작약산이 적절합니다.팔미지황환은 신기능을 도와 몸을 따뜻하게 하고 수액과 혈액의 순환을 개선합니다.무기력하고 냉한 체질로, 배뇨 장애, 허리의 다리가 무거운 나른한 사람에게 적합합니다.시호 계지탕은 기의 흐름을 좋게 하고 피를 저장하고 자율신경을 조절합니다.위장 기능의 개선, 오래된 감기, 스트레스성 질환에 폭넓게 응용되고 있습니다.조류등반은 간기능 항진에 의한 분노, 안면 홍조를 진정시키고 눈과 머리의 충혈, 고혈압, 두통, 안압 상승에 효과가 있습니다.

출처

http://kanpo-life.com/disease/2602/ 녹내장의 원인과 증상, 사용하는 한약을 병명으로 찾는 녹내장이란 눈으로 보는 것을 뇌로 전달하는 시신경에서 장해를 받아 시야가 점점 좁아지는 질병입니다.일본인의 실명 원인으로 가장 많은 질병이며, 40세 이상의 20명 중 1명은 녹내장이 있다는 보고가 있습니다.그다지 자각증상이 없이 천천히 진행합니다 kanpo-life.com

처방설명(동의보감) 오령산태양증이 마을에 들어가 배어 나와 소변이 잘 나오지 않는 것을 치료한다.상초가 허해 만약 물을 마시면 녹이지 못하고 오히려 토하는 수역증이나 물을 많이 마시는데 소변이 잘 나오지 않는 것은 이로운 열이 많지 않아 물을 잘 소화시키지 못하기 때문이다. 이때는 오령산이 적당하다.

노계출 감탕의 가슴에 잠기는 단기를 치료한다.

당귀작약산 임신시 뱃통과 설사, 이질을 치료하는 데 산전 산후 널리 쓰인다.

팔미지황환명문의화가부족으로양의허무함을치료한다.노인이 수화가 부족해 신기하고 매우 허하고 하초가 허하고 허리가 아프고 다리에 힘이 없으며 밤에 소변을 많이 봐 안색이 검고 입이 마르고 귀가 마르는 것도 치료한다.

시호 계지탕의 상한 동기로 절구를 찌르듯 아픈 것을 치료한다.

녹내장의 원인 치료, 일본 동양 의학에서 녹내장에 빈용하는 한약 처방을 소개했습니다.처방명이 중요한 것이 아니라 녹내장이 유발된 원인을 파악하는 것이 중요합니다.

동의보감에서 안질환의 원인은 불이라고 하고 불을 유발하는 원인은 음식, 스트레스, 과로, 한열체질, 남녀노소의 구분이 있습니다”각각 음식상, 칠정상, 노권상, 진음/진양부족으로 부르며 병인이 복합적으로 나타나기도 합니다”병인이 파악되면 치료 처방을 결정하고 열거한 처방도 병인별로 분류할 수 있습니다.본인이 어떤 병인에 속하는지 궁금하시다면 아래 홈페이지에서 확인해 주십시오.

경희대한방병원 출신 조재훈 한의학 박사 진료

error: Content is protected !!